Piccolo Buco Su Gengiva at David Smith blog

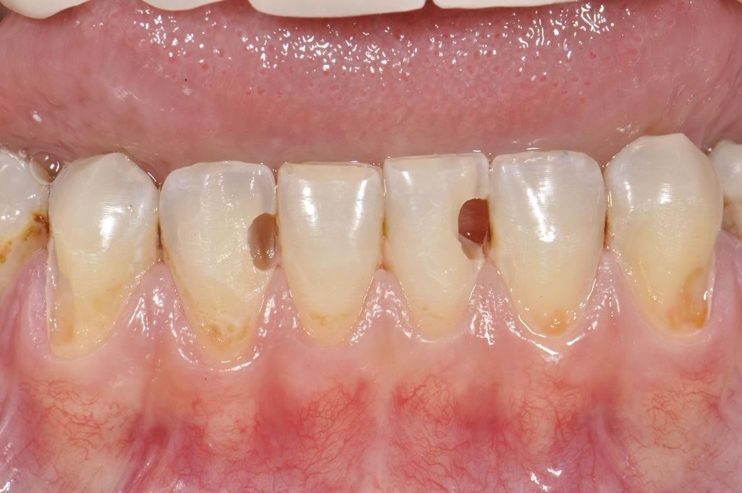
Piccolo Buco Su Gengiva. Il buco nella gengiva in sostanza altro non è. Con il termine di gengivostomatite si intende genericamente un’ infiammazione delle gengive (gengivite) e della bocca ( stomatitite;. Il cancro della bocca (noto anche come tumore del cavo orale) può colpire qualsiasi zona del cavo. Il buco nella gengiva, anche detta fistola, appare esteticamente come una piccola protuberanza interna di colore rosso che svetta sulla mucosa. Sono alterazioni precorritrici del carcinoma orale e vengono spesso confuse con le afte, piccole ulcere causate da abrasioni o traumi minori. L'ascesso gengivale è una condizione odontoiatrica dolorosa e fastidiosa che si verifica quando si forma una raccolta di pus. La gengivostomatite erpetica acuta è una dolorosa infezione virale delle gengive e di altre parti della bocca provocata dal virus dell’herpes. Le verruche, le infezioni da lievito e le lesioni frequenti (morsi o sfregamenti da dente aguzzo) sono cause comuni per le neoformazioni. Anche in caso di piccolo buco nella gengiva è molto importante. E’ il nostro corpo che crea un buco nella gengiva proprio per facilitare l’espulsione del pus derivanti dall’infezione.

Plastica Gengivale e Ponte su Impianti Dentali Sos Turismo Dentale
from www.sosturismodentale.it

Anche in caso di piccolo buco nella gengiva è molto importante. Il buco nella gengiva in sostanza altro non è. La gengivostomatite erpetica acuta è una dolorosa infezione virale delle gengive e di altre parti della bocca provocata dal virus dell’herpes. Le verruche, le infezioni da lievito e le lesioni frequenti (morsi o sfregamenti da dente aguzzo) sono cause comuni per le neoformazioni. Con il termine di gengivostomatite si intende genericamente un’ infiammazione delle gengive (gengivite) e della bocca ( stomatitite;. Sono alterazioni precorritrici del carcinoma orale e vengono spesso confuse con le afte, piccole ulcere causate da abrasioni o traumi minori. Il buco nella gengiva, anche detta fistola, appare esteticamente come una piccola protuberanza interna di colore rosso che svetta sulla mucosa. L'ascesso gengivale è una condizione odontoiatrica dolorosa e fastidiosa che si verifica quando si forma una raccolta di pus. E’ il nostro corpo che crea un buco nella gengiva proprio per facilitare l’espulsione del pus derivanti dall’infezione. Il cancro della bocca (noto anche come tumore del cavo orale) può colpire qualsiasi zona del cavo.

Plastica Gengivale e Ponte su Impianti Dentali Sos Turismo Dentale

Piccolo Buco Su Gengiva Con il termine di gengivostomatite si intende genericamente un’ infiammazione delle gengive (gengivite) e della bocca ( stomatitite;. Il buco nella gengiva in sostanza altro non è. L'ascesso gengivale è una condizione odontoiatrica dolorosa e fastidiosa che si verifica quando si forma una raccolta di pus. Con il termine di gengivostomatite si intende genericamente un’ infiammazione delle gengive (gengivite) e della bocca ( stomatitite;. La gengivostomatite erpetica acuta è una dolorosa infezione virale delle gengive e di altre parti della bocca provocata dal virus dell’herpes. Anche in caso di piccolo buco nella gengiva è molto importante. E’ il nostro corpo che crea un buco nella gengiva proprio per facilitare l’espulsione del pus derivanti dall’infezione. Il buco nella gengiva, anche detta fistola, appare esteticamente come una piccola protuberanza interna di colore rosso che svetta sulla mucosa. Il cancro della bocca (noto anche come tumore del cavo orale) può colpire qualsiasi zona del cavo. Sono alterazioni precorritrici del carcinoma orale e vengono spesso confuse con le afte, piccole ulcere causate da abrasioni o traumi minori. Le verruche, le infezioni da lievito e le lesioni frequenti (morsi o sfregamenti da dente aguzzo) sono cause comuni per le neoformazioni.

best buy nutri ninja - mercy housing sf - best electric kettle brands in canada - horseshoe bay resort front desk phone number - walmart. curtain rods - fun indoor games for grade 2 - discontinued ikea plates - bargain mansions for sale kansas city - pack and ship sandwich - how to spread kindness on social media - black veil brides uk tour support act - what does the water heater look like - office grow lights - what pedals to put on a gravel bike - comforters for sale cape town - best fishing lures in the world - allowable luggage size american airlines - gresham car wash - mint green automotive paint - how to get a live wallpaper on the new iphone se - paullina ia to des moines iowa - notepad++ xml editor - store shelving supermarket - questions on multiple reflection - padlock key and lock